Hollywood Smile:
Încrederea pe care o meriți
Nu este doar despre dinți albi. Este despre armonie facială, funcționalitate restabilită și siguranța de a zâmbi fără rețineri.
4.9
Rating Pacienți
150+
Cazuri / An
20+
Ani Experiență
150+
Cazuri în Ultimul An
Echipă Multidisciplinară
4.9
Rating Pacienți
Tehnologii & Materiale Premium Utilizate
Protocolul Denteca
Am simplificat procesul complex de reabilitare în 4 pași clari, predictibili și siguri.
1. Discuție & Analiză
Ascultăm dorințele tale, evaluăm sănătatea dentară și stabilim așteptările realiste pentru tratament.
2. Protocol Foto
Realizăm un set complet de fotografii de portret și macro pentru a analiza simetria facială și detaliile dentare.
3. Scanare Digitală
Înlocuim amprentele clasice cu scanarea intraorală 3D. Rapid, confortabil și cu precizie de microni.
4. Smile Design
Proiectăm noul zâmbet digital. Vezi rezultatul final pe ecran înainte de a începe orice procedură invazivă.

Dr. Andreea Popescu
Medic Protetică Dentară
Arta reabilitării funcționale
și estetice
Cu o experiență vastă acumulată în clinici stomatologice de top, Dr. Andreea Popescu aduce la Denteca un standard înalt de precizie medicală.
Focusul său principal este pe cazurile complexe de tip "Fast & Fixed" (dinți ficși în 24h) și "Hollywood Smile", unde estetica se îmbină obligatoriu cu funcționalitatea. Perfecționarea continuă este o constantă, urmând cursurile renumitei Belograd Academy, un reper mondial în estetica dentară.
150+
Cazuri Protetice Complexe
în ultimul an
500+
Coroane & Fațete
aplicate anual
Certificări & Cursuri
Absolventă cursurile Belograd Academy
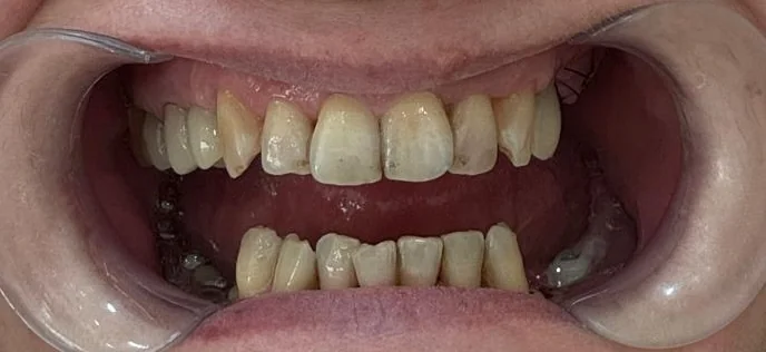
Rezultate care vorbesc
Fiecare caz este unic. Iată câteva exemple de transformări realizate în clinica noastră.








Investiția în zâmbetul tău
Transparență totală. Opțiuni adaptate nevoilor tale estetice.
Tehnica Min-Prep & No-Prep
Credem în conservarea țesutului natural. Oriunde situația clinică permite, optăm pentru proceduri minim invazive. Fațetele moderne (Emax / Feldspatice) pot avea grosimi de doar 0.2 - 0.5 mm ("Lentilă de contact"), permițând aplicarea lor cu o șlefuire microscopică sau chiar fără șlefuire (No-Prep), păstrând vitalitatea dintelui intactă.
24 Coroane Zirconiu
Rezistență și durabilitate superioară.
- Consult primar & Plan tratament
- Material: Zirconiu
- Rezistență mecanică ridicată
- Digital Smile Design inclus
- 5 tratamente de canal incluse
20 Coroane/Fațete Emax
Estetică superioară prin stratificare.
- Analiză Digitală DSD inclusă
- Material: Ceramică Emax Stratificat
- Mock-up (Probă estetică)
- Digital Smile Design inclus
- 5 tratamente de canal incluse
24 Coroane/Fațete Emax
Estetică supremă. Arcadă completă extinsă.
- Analiză Digitală DSD inclusă
- Material: Ceramică Emax Stratificat
- Mock-up (Probă estetică)
- Textură și transluciditate naturală
- Digital Smile Design inclus
- 5 tratamente de canal incluse
Notă importantă: Costul pachetului inițial de analiză (Consultație + Scanare + Simulare = 200 RON) se achită la prima vizită, dar se scade integral din prețul final dacă alegeți să continuați tratamentul.
Experiențele Pacienților
"Ani de zile mi-am ascuns zâmbetul în poze. Echipa Denteca nu mi-a pus doar fațete, mi-a redat încrederea. Arată incredibil de natural, exact cum mi-am dorit."
Elena R.
Hollywood Smile - 20 Fațete
"Profesionalism de la cap la coadă. Simularea digitală m-a convins. Am știut exact cum voi arăta înainte să se atingă cineva de dinții mei."
Andrei M.
Reabilitare Estetică
"Îmi era teamă că vor arăta falși sau prea albi. Doamna doctor a avut răbdare să alegem nuanța perfectă pentru tenul meu."
Cristina D.
Fațete Emax
Întrebări Frecvente
Prioritatea noastră este conservarea țesutului dentar sănătos. Grație adeziunii moderne și a ceramicii Emax/Feldspatice, în multe cazuri putem aplica tehnici 'Min-Prep' (șlefuire microscopică de 0.2 - 0.5 mm) sau chiar 'No-Prep' (fără șlefuire), acolo unde anatomia permite. Medicul va alege tehnica cea mai conservatoare pentru cazul dumneavoastră.
Lucrările ceramice (Emax/Zirconiu) sunt materiale extrem de durabile și stabile cromatic. Cu o igienă orală riguroasă și profilaxii periodice la cabinet, durata medie de viață a lucrărilor este de 10-15 ani. Durabilitatea depinde însă strict de obiceiurile pacientului și de respectarea indicațiilor medicale.
Orice manoperă invazivă se realizează sub anestezie locală pentru controlul disconfortului. După încetarea efectului anesteziei, este posibil să resimțiți o ușoară sensibilitate tranzitorie, care cedează de obicei la analgezice ușoare.
Decizia se ia împreună cu medicul. Putem realiza un zâmbet alb strălucitor (Hollywood White) sau unul cu aspect natural. Etapa de 'Mock-up' (probă) este esențială pentru a vedea cum se armonizează noua culoare cu tenul dumneavoastră înainte de cimentarea definitivă.
Programează o consultație
Primul pas este o evaluare corectă a sănătății tale dentare. Discutăm despre opțiunile de tratament potrivite pentru tine și îți explicăm transparent pașii și costurile implicate.
- Durată vizită: aprox. 45 min
- Primești planul de tratament scris